LA NOSTRA ESPERIENZA
Il metodo dietro alla nostra competenza. La predicibilità dietro al nostro successo.
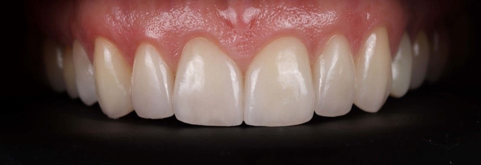
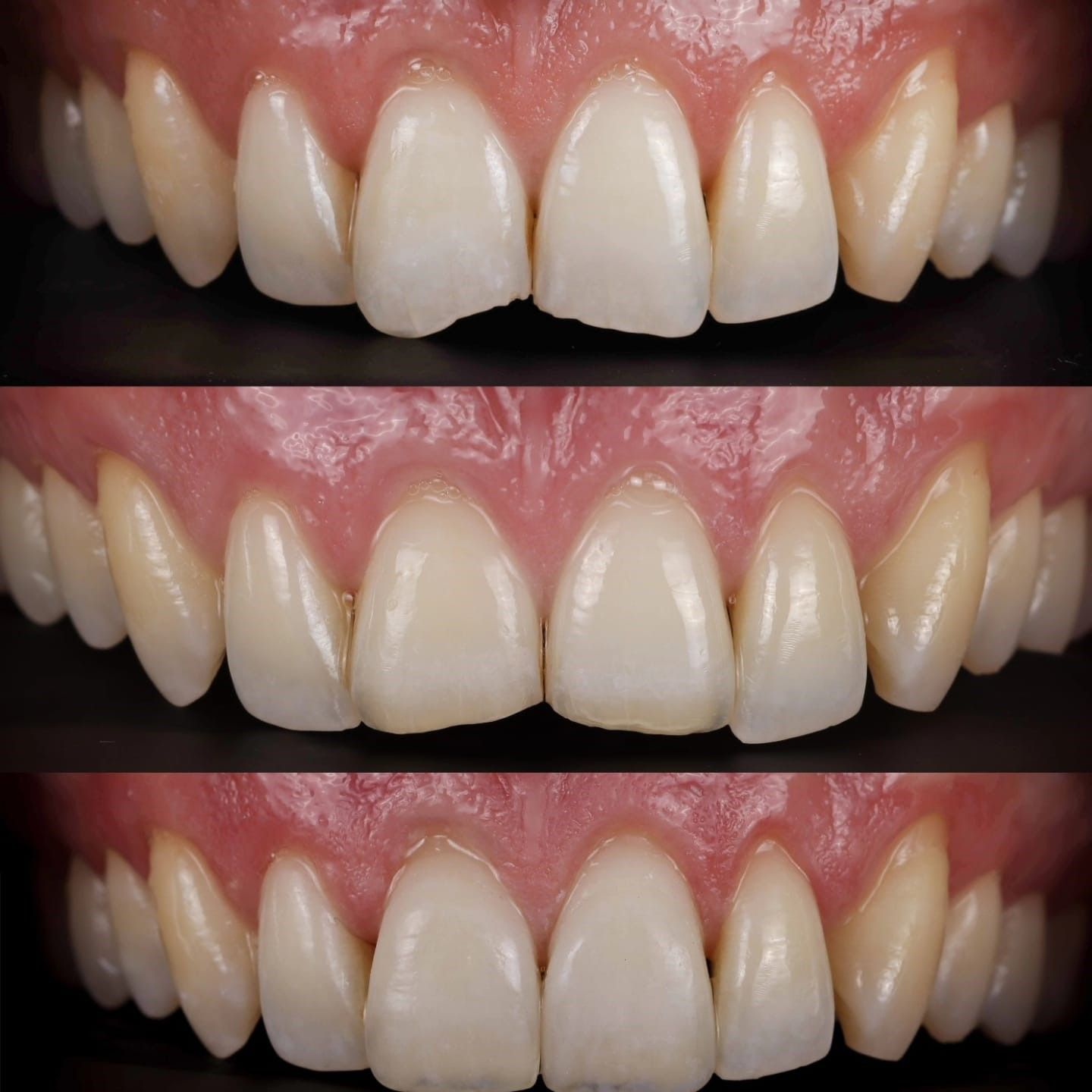
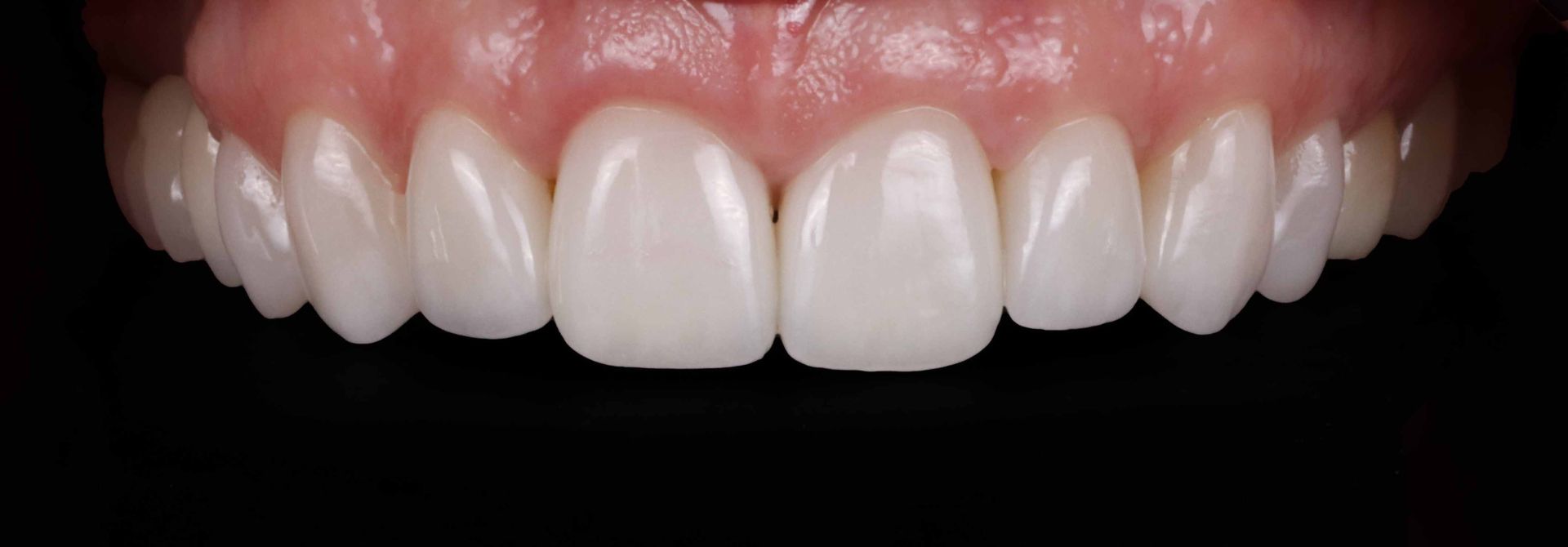
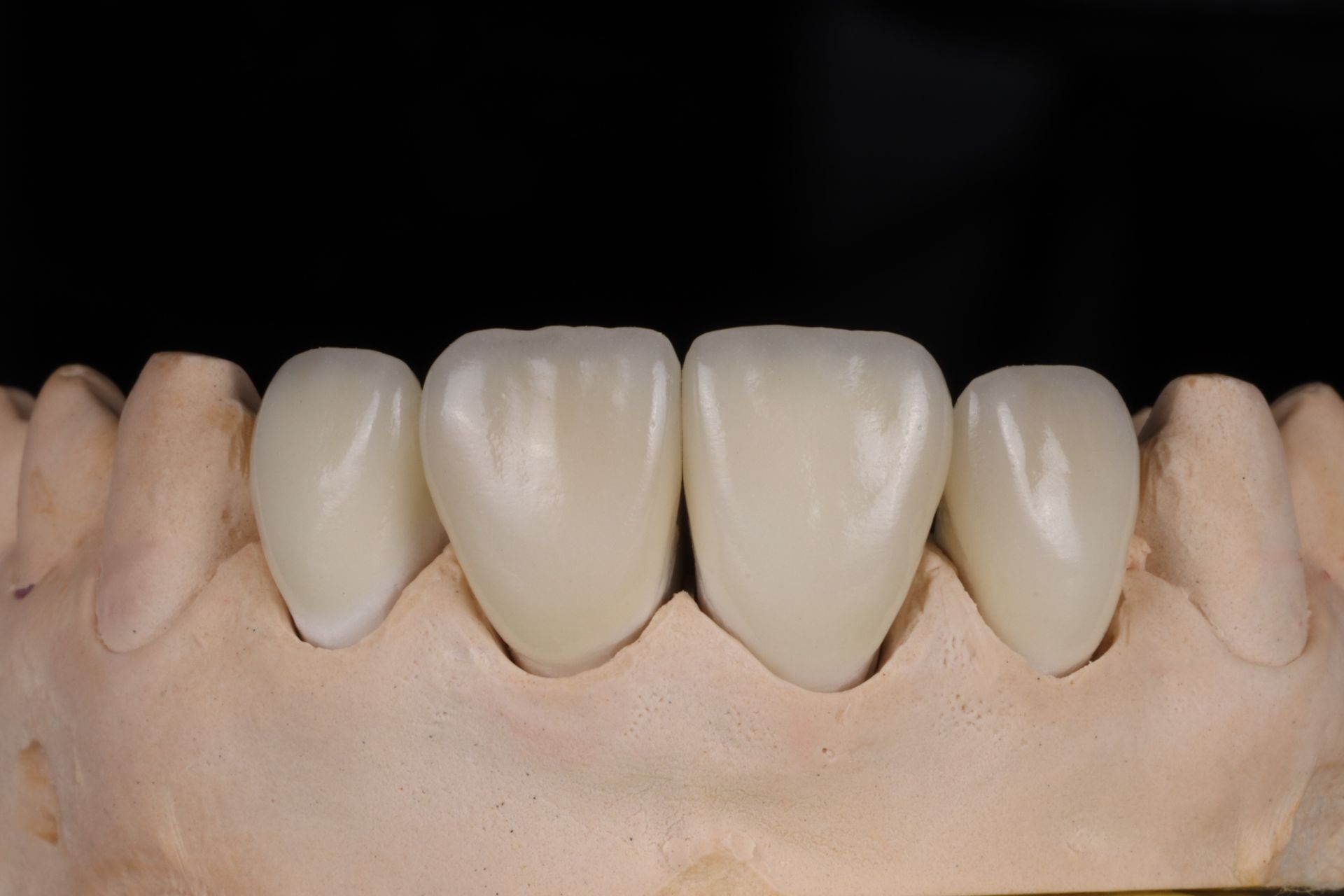
I casi presentati sono esempi dei vari metodi di applicazione del PlaneSystem che utilizziamo quotidianamente. La vera importanza non risiede nel dispositivo fabbricato, ma nella metodologia adottata per svilupparlo.
La collaborazione con il clinico, condividendo tecniche e protocolli consolidati nel tempo attraverso uno studio approfondito della funzione e dell'estetica, è fondamentale per il successo del nostro lavoro.
Per questo motivo, organizziamo corsi individuali e per piccoli gruppi, focalizzati su un approccio pratico. I partecipanti hanno l'opportunità di applicare direttamente quanto appreso nella parte teorica.
Inviaci un messaggio
Domande? Siamo qui per aiutarti. Inviaci un messaggio per essere ricontattato.
CONTATTATECI PER TRASFORMARE LE VOSTRE IDEE IN REALTA'







