OUR EXPERIENCE
The method behind our expertise. The predictability behind our success.
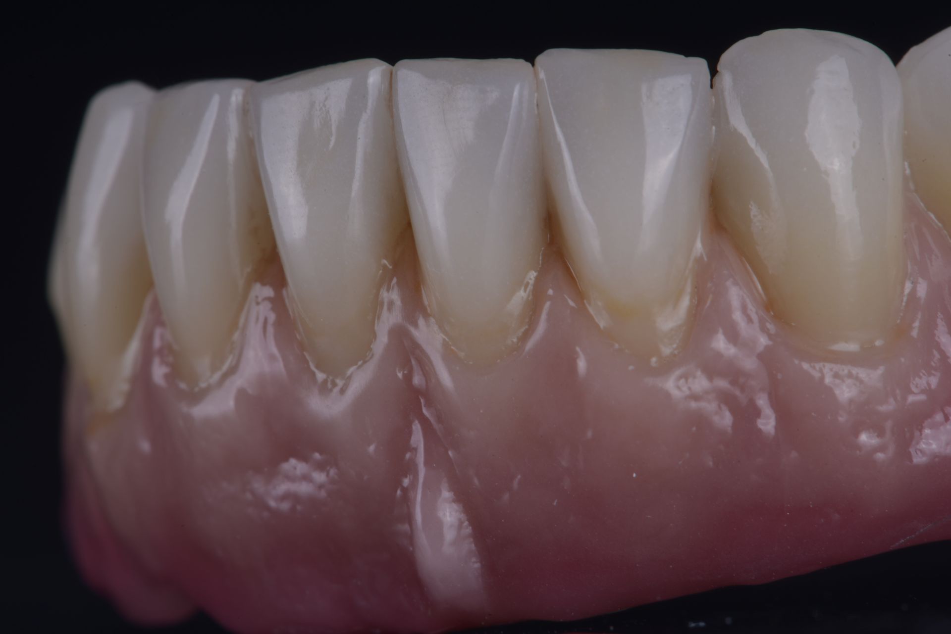
The cases presented are examples of the various application methods of the PlaneSystem that we use daily. The true importance does not lie in the manufactured device but in the methodology adopted to develop it.
Collaboration with the clinician—sharing techniques and protocols refined over time through an in-depth study of function and aesthetics—is essential to the success of our work.
For this reason, we organize individual and small group courses focused on a practical approach. Participants have the opportunity to directly apply what they have learned in the theoretical part.
Send Us a Message
Questions? We're here to help. Send us a message, and we’ll get back to you.omande?
CONTACT US TO TURN YOUR IDEAS INTO REALITY







